脉讯速览
81岁的张大爷(化名)因持续三个月的胸痛和胸闷,被家人紧急送往医院。据患者描述,那种疼痛像一块石头压在胸口,有时还伴有心慌和心律不齐。
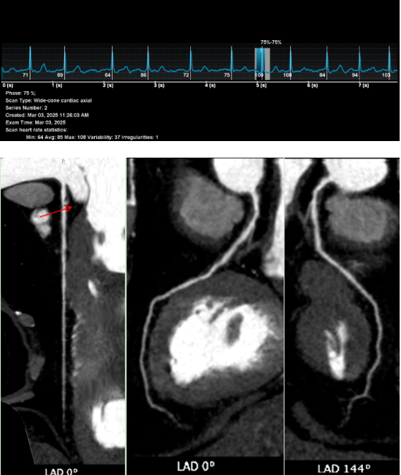
经过一系列检查,辽宁一脉阳光医学影像诊断中心医生通过冠状动脉CT血管成像(CCTA)发现,他的左冠状动脉前降支近端出现了中度狭窄,同时还伴有心肌桥的形成。这个结果,正是典型冠心病的表现。

冠状动脉是心脏的“生命线”,负责为心肌输送氧气和营养。当这些血管因粥样硬化斑块堆积而变窄时,就会形成冠状动脉狭窄。如果狭窄程度超过50%-70%,心肌就会因供血不足而缺血,引发心绞痛、心肌梗死,甚至猝死。
在张大爷的病例中,CT影像清晰显示了他的左冠状动脉前降支近端有中度狭窄。前降支是冠状动脉中最重要的一支,负责左心室大部分血液供应。这里的狭窄,直接导致了他胸痛胸闷的症状。更特别的是,检查还发现了“心肌桥”,当心脏收缩时,心肌会压迫血管,进一步加重血流受限。这种结合了狭窄和心肌桥的情况,在老年患者中并不罕见,但也增加了诊断和治疗的复杂性。
什么是冠状动脉狭窄?
心脏的“交通阻塞”
从影像学角度看,CT冠状动脉成像是无创诊断的金标准之一。它通过三维重建技术,将冠状动脉的形态、狭窄位置和程度直观呈现出来。


疾病发病成因
斑块是如何“悄悄长大的”?
冠状动脉狭窄的根本原因是动脉粥样硬化。这是一种慢性、进展性的疾病。常年吸烟、饮酒、高血压、高血脂和糖尿病等会损伤血管内皮,使脂质、胆固醇等物质沉积在血管壁,形成粥样硬化斑块。随着时间推移,斑块逐渐增大、变硬,甚至破裂,引发血栓,进一步加剧狭窄或完全堵塞血管。
影像学技术
如何“捕捉”心脏的瞬间
对于张大爷这样的高龄患者,传统CT扫描面临两大挑战:一是患者无法长时间屏气,二是心律不齐会影响图像质量。然而,宽体探测器CT技术的应用,完美解决了这些问题。这种设备扫描速度极快,仅需0.3秒就能完成心脏成像,患者无需屏气,可自由呼吸,且心率波动对图像质量影响极小。
在张大爷的检查中,医生利用宽体探测器CT获得了高质量的冠状动脉图像。图像清晰显示了狭窄的位置和程度,以及心肌桥的形态。这种技术的优势在于其高时间分辨率和空间分辨率,能够“冻结”心脏运动,避免运动伪影,从而提供诊断所需的精细解剖信息。此外,低剂量扫描技术的应用,还减少了辐射暴露,特别适合老年和体弱患者。
影像学不仅是诊断工具,更是评估预后的重要手段。通过CT,医生可以量化狭窄程度、评估斑块性质(如钙化斑块与非钙化斑块),并为后续治疗提供导航。
科普知识
冠心病,你了解多少?
冠心病(冠状动脉粥样硬化性心脏病)是全球头号健康杀手。其典型症状包括胸痛、胸闷、气短、心悸等,但部分患者可能表现为牙痛、背痛甚至消化不良,容易误诊。诊断方法除CT外,还包括心电图、超声心动图和冠脉造影等。
预防冠心病的关键在于控制危险因素:戒烟限酒、合理饮食、规律运动、控制血压、血糖和血脂。对于已确诊的患者,治疗包括药物治疗(如抗血小板药、他汀类降脂药)、介入治疗(支架植入)和外科手术(搭桥手术)。定期随访和生活方式干预同样重要。
张大爷的病例提醒我们,心脏健康不容忽视。尤其是中老年人群,应定期进行心血管风险评估,必要时接受影像学筛查。早期发现冠状动脉狭窄,可以有效预防心肌梗死等严重事件。
