脉讯速览
81岁的张老先生近日胸口发闷,偶尔刺痛,心跳也时快时慢,让他夜里难以入睡。常年有高血压史的他,起初以为是劳累所致,直到症状持续,才在子女的坚持下前来北京一脉阳光医学影像中心做体检。经过初步影像检查,医生判断这可能不是普通的“老年病”,而更可能是心脏的血管——“冠状动脉”出了问题。

随即,张老先生被安排进行了一项关键检查:冠状动脉CT血管成像(CCTA)。对于一位81岁高龄、心律不齐且难以长时间屏气的老人来说,传统的CT扫描可能因呼吸运动和心跳产生伪影,导致图像模糊、诊断困难。然而,这次检查使用了——GE 256排宽体探测器CT。其核心优势在于“快”与“宽”:探测器覆盖范围宽,仅需0.3秒的极短扫描时间,就能完成心脏区域的完整数据采集。这意味着患者可以自由呼吸,无需刻意屏气,并且高速扫描能“冻结”心跳,极大削弱了心律不齐对图像质量的干扰,从而获得清晰、可靠的心脏血管图像。
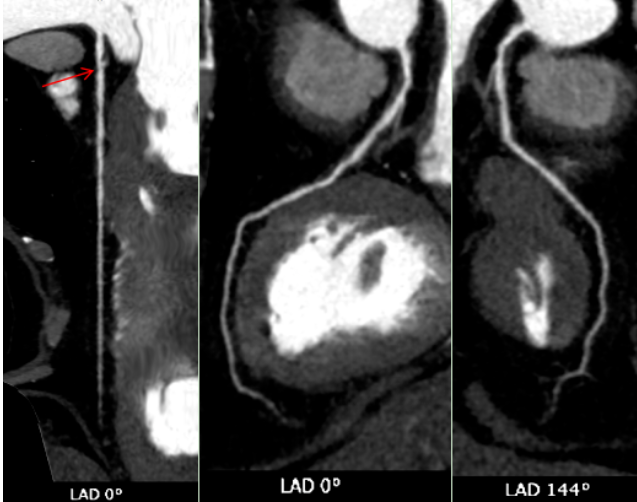
CT表现:冠状动脉粥样硬化,左冠状动脉前降支近端中度狭窄,左冠状动脉前降支心肌桥形成。



正常情况下,血管走在心脏表面,收缩舒张自由;而当血管被心肌“桥”覆盖时,心脏每次收缩挤压,都可能短暂压迫这段血管,影响远端的血液供应。狭窄加上心肌桥的叠加效应,很好地解释了他为何出现胸闷、胸痛(心绞痛)和心律不齐的症状——心肌正在发出“缺血”的求救信号。
影像学知识延伸
冠状动脉CTA已成为筛查和诊断冠状动脉疾病的无创性“金标准”之一。它通过静脉注射对比剂,利用CT快速多层扫描和三维重建技术,直观展示冠状动脉的走行、管腔狭窄程度、斑块性质(如钙化斑块或软斑块)以及血管壁的情况。对于像张老先生这样的病例,CTA不仅能精准测量狭窄百分比,还能识别心肌桥这一解剖变异,评估其与狭窄的相互影响,为临床制定治疗方案(是药物保守治疗,还是需要介入支架或外科搭桥)提供了至关重要的参考。报告中提到的宽体探测器技术,代表了当前CT发展的前沿方向,特别适用于心率快、心律不齐、不能配合屏气或身体虚弱的患者,极大地拓宽了心脏CT检查的适用人群和诊断成功率。
冠状动脉狭窄的本质,正是这些管道内壁发生了“动脉粥样硬化”:在长期高血压、高血脂(尤其是低密度脂蛋白胆固醇过高)、糖尿病、吸烟、饮酒等危险因素的“侵蚀”下,血液中的脂质等物质逐渐沉积在血管内壁,形成斑块。斑块会慢慢增厚,使血管腔变窄,血流减少。当狭窄达到一定程度(通常认为管腔面积减少>50%),在运动、情绪激动等心肌耗氧增加时,就可能因供血不足而引发心绞痛。若斑块突然破裂形成血栓,完全堵死血管,就会导致急性心肌梗死,危及生命。
冠状动脉的病变往往早期可能毫无症状,或仅表现为轻微不适。因此,对于有高血压、糖尿病、高脂血症、吸烟史、冠心病家族史,以及像张老先生一样高龄的“高风险人群”,即便暂无典型症状,也应提高警惕。定期进行心血管相关检查至关重要。除了血脂、血糖等血液检查,心脏CTA作为一种无创、快捷、准确的检查手段,是评估冠状动脉情况的优秀选择。它能够早期发现斑块和狭窄,实现冠心病的早诊断、早干预。
张老先生的故事提醒我们,心脏的健康警报有时很微弱,但现代影像技术为我们提供了洞察内部的“慧眼”。关注血管健康,就是守护生命引擎的动力源泉。通过影像学检查与积极的生活方式干预,完全可以更早地识别风险,更有效地管理疾病,让生命的河流在畅通的“管道”中,持续奔流。
