
周先生不久前刚被查出肺结核,正在接受治疗。本以为安心吃药就能慢慢好转,没想到三天前,头突然开始疼起来。
不是普通的昏沉胀痛,而是那种越来越剧烈的疼,整个人精神萎靡,浑身没劲,还伴有低热。他以为是感冒,扛一扛就过去了。可三天过去,头痛不但没减轻,反而越来越重,连脖子都开始发僵,低头时更疼得厉害。
家人带他来到南昌影像中心。影像医生问诊了解患者主诉后,表情变得严肃起来:“肺结核合并头痛,要警惕结核菌跑到脑子里去了。”随即建议他做一个头颅增强磁共振检查,看看脑膜有没有被感染。
影像探索
MRI下的“蜂窝状”脑膜
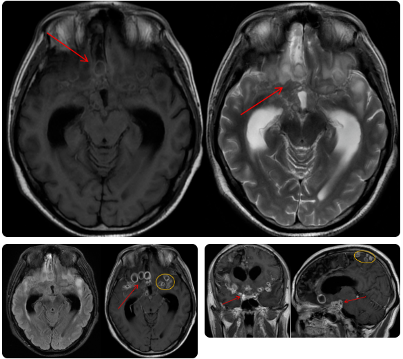
相比CT,MRI对脑膜、脑实质的显示更清晰,增强扫描还能让炎症病灶“亮”起来,是诊断颅内感染的重要工具。
MR表现:颅内脑沟裂池内见多发明显环形强化灶,部分融合呈蜂窝状簇状(黄色),以鞍上池、双侧外侧裂池为著,局部波及胼胝体。

影像诊断:结核性脑膜炎
疾病概述
结核性脑膜炎,藏在脑膜下的“杀手”
结核性脑膜炎是由结核杆菌引起的脑膜非化脓性炎症,可继发于粟粒性结核及其他器官的结核病灶,结核分枝杆菌所致中枢神经系统感染约占所有结核病例的4.5%;病情危重,死亡率约15-45%,后遗症严重病死率及致残率高,发病特点为儿童高于成年人。
头颅 MRI 是其中重要的辅助检查,其表现为大脑基底池脑膜增厚为主,合并簇状分布的脑膜结节,增强扫描结节成环形强化等征象,以及继发脑积水、脑内前循环血管炎、脑梗死等。
1、发热、畏寒、全身酸痛、乏力、精神萎靡
2、头痛、呕吐、颅内压增高(剧烈头痛、喷射性呕吐)
3、脑膜刺激征(脖子僵硬、低头困难)
4、脑神经损害(如视物模糊、眼球活动障碍)
5、脑实质损害(癫痫、偏瘫、感觉异常、小脑功能失调等)
如果治疗不及时,炎症会堵塞脑脊液循环通路,引发脑积水;还会侵犯脑血管,导致脑梗死,造成不可逆的神经损伤。
鉴别诊断
结核性脑膜炎vs其他脑膜炎
结核性脑膜炎的影像表现虽然典型,但还需要与其他类型的脑膜炎鉴别:
化脓性脑膜炎:起病更急,进展更快,脑膜刺激征更明显。MRI上同样有脑膜增厚强化,但常伴有局部积脓,DWI上呈高信号(脓液扩散受限)。
隐球菌脑膜炎:起病较缓,病程更长。多见于长期使用抗生素、免疫抑制剂的人群,发热不明显,但颅内压显著增高,头痛剧烈。MRI上脑沟脑池呈线样强化,脑实质病灶多呈斑片状改变。
颅内转移瘤:多见于中年以上人群,有原发肿瘤史(肺癌、乳腺癌最常见)。病灶周围水肿更显著,与脑膜炎的弥漫性脑膜强化不同。
本例患者有明确的肺结核病史,MRI表现为典型的脑膜环形强化、簇状分布,结合脑脊液检查(通常可检出结核杆菌或特异性抗体),诊断结核性脑膜炎是确凿的。
早诊断、早治疗
守住生命“中枢”
周先生的经历,给大家敲响了警钟:肺结核患者一旦出现头痛、发热、脖子僵硬等症状,千万不能掉以轻心,要警惕结核菌“上行”到脑膜的可能。结核性脑膜炎虽然凶险,但只要早发现、早诊断、早治疗,通过规范的抗结核治疗和对症处理,仍有很大机会渡过难关。
