
72岁的李大爷(化名)是个老烟民,半年来一直咳嗽不断,偶尔痰中带血丝。起初他以为是普通感冒,没太在意。可症状越来越重,家人劝他去医院,一查是肺癌。就在全家努力面对这个噩耗时,李大爷又出现了新的问题:头痛、右边手脚偶尔使不上劲,走路也不太稳当。
由于南昌影像中心的口碑及精准影像检查体验感好的反馈,来到南昌影像中心。在医生建议下,他做了头部磁共振(MRI)检查。结果让人心头一紧:李大爷的大脑里,竟然出现了多个大大小小的异常病灶,最大的一颗位于右侧顶叶——这个区域正好控制着左侧肢体的运动和感觉。
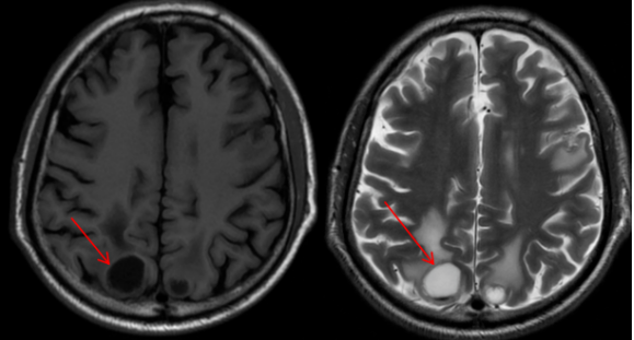
MR表现:颅内见多发大小不等小结节、类环形T1等/低、T2高、T2falir等信号,DWI部分高信号,ADC呈高信号,部分病灶周围环以水肿,增强扫描病灶呈点状、环形强化,较大者位于右侧顶叶,周围水肿未见强化(长箭头)。

最终明确诊断:肺癌脑转移
脑转移瘤到底是什么?
很多人听到“脑转移瘤”这个名词会感到陌生甚至恐惧。简单来说,它并不是大脑自己“长”出来的肿瘤,而是身体其他部位的癌细胞——比如肺癌、乳腺癌、结直肠癌等——通过血液、淋巴等“通道”,跑到大脑里的一种肿瘤。
为什么肺癌容易转移到大脑?
在所有恶性肿瘤中,肺癌、乳腺癌、黑色素瘤是最容易发生脑转移的“前三名”。尤其是小细胞肺癌和肺腺癌,脑转移风险更高。李大爷患的就是肺癌,这也是他为何要做头部磁共振检查的原因。
脑转移的好发部位以大脑半球为主(约占80%),其次是小脑和脑膜。李大爷的病灶位于顶叶,属于大脑半球,非常典型。
如何发现脑转移瘤?
磁共振是‘金标准’
李大爷能及时发现脑转移,靠的是头颅磁共振平扫+增强扫描。相比CT,MRI能更清晰地显示脑内小病灶、水肿范围和病灶与周围结构的关系。增强扫描更是关键——正常脑组织因为有血脑屏障,造影剂进不去;而转移瘤破坏了屏障,造影剂会聚集在病灶周围,形成“环形”或“结节状”强化,一目了然。
在临床上,医生还需要把脑转移瘤和其他类似表现的病变区分开,比如:
①脑脓肿:DWI高信号、ADC值降低,环壁均匀光滑;
②恶性胶质瘤:环形强化不规则,壁厚薄不均,无张力;
③亚急性期脑内血肿:T1、T2均为高信号,但水肿相对较轻。
李大爷的影像表现——多发、大小不一、环形强化、周围水肿明显——非常符合典型的多发脑转移瘤。
可以预防吗?
如何应对?
对于已经确诊癌症的患者,定期进行脑部影像检查是早期发现脑转移的关键。尤其是肺癌患者,即使没有神经系统症状,也建议在初次诊断时和治疗过程中定期筛查头颅MRI。
目前对于脑转移瘤的治疗手段包括:全脑放疗、立体定向放射治疗、手术切除、靶向治疗和免疫治疗等。不同患者根据病灶数量、位置、原发癌类型和全身状况,制定个体化方案。
1、警惕“无声的转移”:部分脑转移早期没有明显症状,一旦出现头痛、恶心呕吐、肢体无力、癫痫、性格改变或言语障碍,要高度警惕。
2、癌症患者定期查脑:特别是肺癌、乳腺癌、黑色素瘤患者,不要忽视头部MRI检查。
3、不要放弃希望:即使发生脑转移,现代医学仍有很多治疗手段,部分患者可以长期带瘤生存,生活质量也能得到保障。
李大爷的故事并不罕见。在我国,每年有数十万癌症患者面临脑转移的威胁。早发现、早诊断、科学治疗,是战胜这个“大脑里的不速之客”最有力的武器。希望每一位癌症患者和家属,都能多一分警惕,也多一分信心。
